こんなお悩みありませんか?
-

親知らずが気になる
-

顎が開かない
-

口を開けると音がする
-

口腔内にできものができた
-

口内炎が治らない
-

失った歯を自分の歯で補いたい方
口腔外科とは
新しい技術と設備であらゆるトラブルに対応

当院の口腔外科では、親知らずの抜歯や顎関節症の治療、口内炎や口腔内のできものの治療のほか、損失した歯を自分の歯で補う歯牙移植を行っています。口腔外科の治療には外科的な処置が含まれるため、専門的な技術や充実した設備のあるクリニックを選ぶことが大切です。当院では、新しい技術と設備で治療を進めていますので、安心してお任せください。
当院の設備紹介はこちら
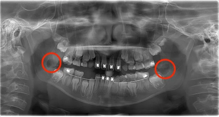
親知らずの抜歯
症状や検査で抜歯の判断をします

親知らずはまっすぐに生えることが少なく、横向きに生えてきたり、歯ぐきが腫れて痛みが出たりして、トラブルを起こすことが多々あります。また、一番奥にあって歯磨きしにくく、虫歯や歯周病になるリスクも高いため、レントゲンやCTで撮影し、口腔内のチェックを行った上で早めの抜歯をおすすめしています。
抜歯となった場合は、痛みや腫れを極力抑えられるよう工夫していますので、ご安心ください。
反対に、親知らずがまっすぐ生えていたり、かみ合わせに異常がなかったりする場合は、抜く必要はありません。親知らずが気になる方は、一度ご相談ください。
歯胚抜歯
歯胚抜歯(しはいばっし)とは?

歯胚抜歯とは、将来親知らずになる歯の“芽”である歯胚(しはい)が、まだ顎の骨の中で成長途中の段階で取り除く処置です。
歯が硬く成長しきる前の柔らかい状態で行うため、比較的スムーズに行えるケースがあります。親知らずは、生える方向や位置によっては隣の歯を押したり、歯並びに影響を及ぼす場合があります。発育途中の段階で歯胚を除去しておくことで、そうした将来的なトラブルを事前に防ぐことにつながります。
一般的には8〜12歳頃にレントゲンで歯胚の位置や大きさを確認し、将来問題が予想される際に検討されることが多い処置です。
当院では、口腔外科を専門とする歯科医師が診断のうえ対応しております。
症例:歯胚抜歯のBefore / After
Before:矯正治療中の歯胚の位置異常

- 手前の歯を押す
- 歯列を乱す
- 矯正治療後の“後戻り”を起こす
といった問題が予測される状態です。
このような歯胚は、成長するにつれ抜歯が難しくなるため、早期の判断が重要となります。
After:実際に歯胚抜歯したケース

歯根がまだ形成されていないため柔らかく、成長してからの抜歯に比べて
- 骨への負担が少ない
- 神経との距離が十分で安全
- 術後の腫れや痛みが軽い
という大きなメリットがあります。
2枚の写真を比較することで、歯胚抜歯がどのような処置か明確に理解できます。
歯胚抜歯の時期を逸した為に歯列不正になってしまった症例

歯胚抜歯の適切な時期を逃してしまったことで、歯列不正へとつながった症例です。画像では、左下の第二大臼歯(7番)が横向きのまま埋伏しており、本来の位置に正常に生えてくることができない状態になっています。このような埋伏は、隣接する親知らず(8番)の萌出方向や、顎の骨の大きさ・形態の影響により歯が生えるためのスペースが不足した際に起こりやすいとされています。歯胚の段階で早期に異常を確認できていれば、歯列不正や咬み合わせへの悪影響を未然に防げた可能性が高く、“適切な時期での診断と対応の重要性”を示す典型的なケースです。
歯胚抜歯のメリット
- ① 抜歯が比較的容易 歯根がまだ形成されていないため、骨と強く癒着しておらず、処置がシンプルになる傾向があります。
- ② 神経への影響が出にくい 下顎の親知らずは成人後に下歯槽神経と近接することが多く、通常の抜歯では注意が必要です。
- ③ 術後の腫れや痛みが少ない傾向 歯として完成する前の組織を取り除くため、周囲へのダメージが少なく、回復も比較的早い場合があります。
- ④ 将来の歯並びの乱れを防止 親知らずが横向き・斜めに生えると、奥歯を押しやって歯列が乱れる原因になることがあります。
歯胚の段階では神経との距離が確保されているため、神経への負担が少ないとされています。
早期の段階で対応することで、歯並びへの影響を抑えられる可能性があります。
歯胚抜歯を検討するケース

- 親知らずが横向き・斜め方向に成長している
- 生えるスペースが明らかに不足している
- 歯列や噛み合わせに悪影響が出る可能性がある
- 矯正治療中/矯正治療後の歯並びを維持したい
- 画像診断で将来トラブルが予測される場合
注意点
歯胚抜歯は、年齢・成長段階・親知らずの位置など個人差を大きく受けるため、すべての方に適応されるわけではありません。まずは、歯科医院でレントゲンやCTを用いた精密な診断を行い、必要性やタイミングを判断します。
状況によっては「抜かずに経過観察」のほうが適している場合もあります。
顎関節症の治療
顎関節症(がくかんせつしょう)とは

口を開け閉めすると顎関節の音がする、口を開けにくい、顎が痛いなどの症状が現れる疾患で、近年、患者数が増えています。
原因としては、かみ合わせの異常や
ストレス、歯ぎしり、頬杖やうつ伏せ
寝などさまざまなことが考えられ、複数の要因が重なって発症すると考えられます。
顎関節症の治療はこちら
歯牙移植について
失った歯を自分の歯で補う治療法

歯牙移植とは、自己の歯を異なる位置から取り出して、欠損している場所に移植する治療法です。歯茎や歯髄に問題がなければ、取り出した歯をそのまま利用することが可能です。 ただし、歯牙移植は移植する歯と移植先の歯の形やサイズが一致している必要があります。そのため、親知らずや他の利用できる歯が残っていても、すべての人が歯牙移植を受けられるわけではありません。 ブリッジ治療では固定のために隣接する歯を削る必要がありますが、歯牙移植は健康な歯を傷つけることなく再生できます。歯牙移植の代替治療として、入れ歯やインプラントなどがありますが、歯周病になった場合の予後が良くないなどのデメリットがあります。一方で、歯牙移植は天然の歯を使用するため、人工歯では再現できない自然な噛み心地が得られる点が大きなメリットです。
歯牙移植のメリット
- 義歯に比べ食感や歯ざわりを感じやすい
- ブリッジのように周囲の歯を削る必要がない
- 条件を満たせば健康保険が適用される
歯牙移植のデメリット
- 技術的に難しい
- 親知らずなど移植する歯が必要
- 外科手術が必要
- 高齢になるほど成功率が下がる




