笑うと歯ぐきが気になる方へ
- 笑うと歯ぐきが目立つ
- 写真では無意識に口を閉じてしまう
- 「ガミースマイルかも」と言われたことがある
- 手術と聞いて不安で相談できずにいる
ガミースマイルとは

ガミースマイルとは、笑ったときに上の歯ぐき(歯肉)が通常より多く見える状態を指します。
一般的には、笑った際に歯ぐきが3mm以上見える状態を目安に、ガミースマイルと呼ばれることがあります。
病気ではありませんが、
- 口元の印象が気になる
- 笑顔に自信が持てない
といった心理的なストレスにつながることも少なくありません。 当院では、見た目だけでなく機能面・安全性を重視した診査を行い、必要に応じてガミースマイルの改善をご提案しています。
症例紹介:Before / After で見る改善効果
当院で実際に行っている、外科的アプローチによる改善例をご紹介します。
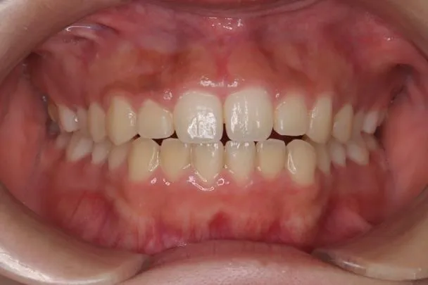
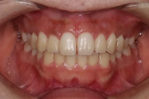
症例①
Before


After


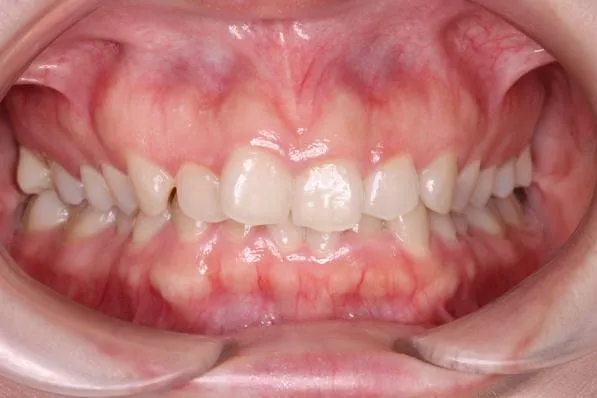
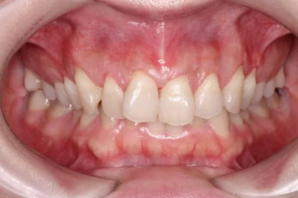
症例②
Before


After


Before: 歯冠が短く、歯ぐきが目立つ状態
歯肉の位置が低いために、本来の歯の長さ(歯冠)が隠れて短く見え、笑った際に歯ぐきの面積が強調されています。このようなケースでは、以下の懸念が生じます。
- 口元の印象:歯と歯ぐきの黄金比が崩れ、見た目のコンプレックスになりやすい。
- 笑顔への影響:歯ぐきを隠そうとして、無意識に口を閉じて笑う癖がつくことがある。
- 心理的ストレス:人前で思いきり笑うことに抵抗を感じてしまう。
After:歯ぐきのラインを整え、自然な笑顔へ
歯肉形成(歯冠長延長術)を行い、歯ぐきのラインを外科的に数ミリ単位で調整した後の状態です。 隠れていた歯が適切な位置まで露出したことで、以下の変化が見られます。
- 黄金比の実現:歯と歯ぐきのバランスが整い、笑顔の印象が自然になります。
- 後戻りの少なさ:外科的な調整を行うため、処置後の状態が長期的に安定しやすいのが特徴です。
- 負担の軽減:口腔外科の知見に基づき、痛みや不安に配慮した処置を行うため、術後の回復もスムーズに進みます。
2枚の写真を比較することで、数ミリの調整がいかに口元全体の清潔感と安心感につながるかが明確に理解できます。
ガミースマイルの主な原因
ガミースマイルは一つの原因だけで起こるものではなく、複数の要因が関与していることが多いのが特徴です。
上唇の動きが大きい
笑ったときに上唇を引き上げる筋肉(上唇挙筋)の働きが強く、歯ぐきが露出しやすい状態です。
歯ぐきの位置・歯の見え方
歯肉の位置が高く、歯が短く見えることで、歯ぐきの面積が強調されて見える場合があります。
歯並び・噛み合わせ
歯や顎の位置、噛み合わせの影響で、笑った際の歯ぐきの見え方が変わることがあります。
骨格的な特徴
上顎骨の形状や成長バランスによって、歯ぐきが目立ちやすくなるケースもあります。
当院ではこれらを単独で判断せず、総合的に診査したうえで治療の必要性を見極めます。
ガミースマイルには「程度の違い」があります

ガミースマイルには個人差があり、すべての方に治療が必要なわけではありません。
- 軽度:歯ぐきが少し見えるが、違和感は軽い
- 中等度:笑うと歯ぐきがはっきり目立つ
- 重度:常に歯ぐきが強調され、見た目の悩みが強い
「治療が必要かどうか」「どの方法が適しているか」は、診察を行わなければ判断できません。
当院でのガミースマイル治療の考え方
森の木歯科・口腔外科クリニックでは、無理に治療をすすめることはありません。
口腔外科を専門とする歯科医院として、
- 歯
- 歯肉
- 骨
- 筋肉
まで含めた診断を行い、本当に必要な治療のみをご提案します。
主な治療方法
歯肉形成(クラウンレングスニング/歯冠長延長術)
審美矯正治療
症状によっては、目立ちにくい矯正装置を選択できる場合もあります。
上唇挙上抑制のアプローチ
※適応には慎重な診断が必要です。
初診から治療までの流れ

1 カウンセリング・診査
お悩みやご希望を伺い、口腔内写真・レントゲンなどで状態を確認します。
2 診断・治療方針の説明
治療の必要性、方法、メリット・注意点を丁寧にご説明します。
3 治療開始
痛みや不安に配慮しながら進めます。必要に応じて麻酔を使用します。
4 アフターケア
治療後の経過を確認し、長期的な安定を目指します。
料金(税込み)
(税込)
| クラウンレングスニング | 275,000円 |
|---|---|
| リップリポジショニング | 275,000円 |
| ボトックス注射 | 66,000円 |
ガミースマイル治療のメリット・注意点
メリット
- 笑顔の印象が自然になる
- 歯と歯ぐきのバランスが整う
- 口元へのコンプレックスが軽減される
注意点
- 治療内容によってはダウンタイムが生じる場合があります
- 多くの場合、審美目的のため自由診療となります
よくあるご質問
Q. 手術は必ず必要ですか?
Q. 痛みはありますか?
Q. まず相談だけでも可能ですか?
まずはお気軽にご相談ください
森の木歯科・口腔外科クリニックでは、患者さま一人ひとりの状態を丁寧に診査し、治療をする・しないを含めて一緒に考えることを大切にしています。
「自分の場合はどうなのか」
その確認からでも構いません。まずは初診カウンセリングでご相談ください。




